Central Line (CVL) Trainer Ultrasound Phantom Simulator [Difficult Version]

Central Line (CVL) Trainer Ultrasound Phantom Simulator [Difficult Version]

Regular price $399.99 Sale

It's time to practice central lines without the $1,000 + price tag!

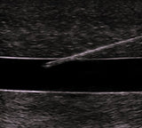
This realistic (both feel and sono appearance) 4 vessel trainer includes a 3/8" and 1/2" vessel on both sides to simulate artery/vein position for IJ/carotid or femoral vein/artery. Alternatively, can be used as an "easy" and "hard" target for CVL positioning. 

The center contains 3x 1/4" IV trainer vessels as well. 

Totally stands alone, no need for a "body" that costs $2k to set it inside of.

Simply pour water in from the top and practice. Drain afterwards and store in a clean dry place. 

 

We also make completely customizable phantoms, just ask!